服务项目

免疫组化(大组织)

服务概述

免疫组化,是应用免疫学基本原理——抗原抗体反应,即抗原与抗体特异性结合的原理,通过化学反应使标记抗体的显色剂(荧光素、酶、金属离子、同位素)显色来确定组织细胞内抗原(多肽和蛋白质),对其进行定位、定性及定量的研究,称为免疫组织化学技术(immunohistochemistry)或免疫细胞化学技术(immunocytochemistry)。传统的石蜡切片由于玻片的限制,大组织的形态结构不能完整的呈现在镜下,特制大玻片和全景数字扫描可以很好的解决这一难题。

服务周期:

技术介绍

免疫组化,是应用免疫学基本原理——抗原抗体反应,即抗原与抗体特异性结合的原理,通过化学反应使标记抗体的显色剂(荧光素、酶、金属离子、同位素)显色来确定组织细胞内抗原(多肽和蛋白质),对其进行定位、定性及定量的研究,称为免疫组织化学技术(immunohistochemistry)或免疫细胞化学技术(immunocytochemistry)。传统的石蜡切片由于玻片的限制,大组织的形态结构不能完整的呈现在镜下,特制大玻片和全景数字扫描可以很好的解决这一难题。

实验流程

  1. 切片脱蜡至水-抗原修复-3%的双氧水处理-画圈-血清封闭-一抗4℃过夜孵育-二抗室温孵育-显色-苏木素染核-脱水、透明、封片-镜检

实验步骤

步骤1:抗原修复优化

高压修复罐内预加pH9.0 EDTA缓冲液,121℃修复20分钟,自然冷却至室温

步骤2:抗体孵育

GFAP一抗(1:200)4℃振荡孵育16小时→HRP二抗(1:500)37℃孵育45分钟

步骤3:显色控制

DAB显色液作用3-5分钟(显微镜实时监控),苏木素复染30秒分化返蓝

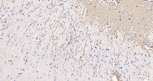
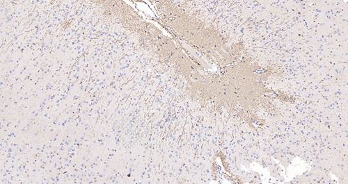
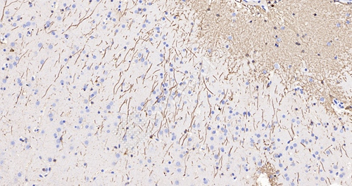
案例:实验结果展示

猴脑IHC-GFAP_0.2x

猴脑IHC-GFAP_10.0x

猴脑IHC-GFAP_20.0x

结果判读

  • 阳性定位:细胞质棕黄色颗粒(DAB),细胞核蓝色(苏木素)
  • 定量标准:阳性细胞占比>5%且染色强度≥2+(四分级法)
  • 背景控制:非特异性染色面积<2%视为合格

送样运输要求

  • 样本放置于20倍样本体积的固定液中固定24h以上,常温运输送样。
  • 切勿固定时间过长,切勿冷冻结冰。

注意事项

  • 超大玻片需用硅烷化处理防止脱片
  • 一抗孵育时需平缓振荡(60rpm)增强渗透
  • DAB显色需分区域梯度监控防止过显
  • 扫描参数:40倍物镜,分辨率0.23μm/pixel