服务项目

肾纤维化模型

服务概述

模型种类 (1)单侧输尿管结扎法肾小管间质纤维化模型 (2)庆大霉素诱导肾小管间质纤维化

服务周期:

模型种类

(1)单侧输尿管结扎法肾小管间质纤维化模型

(2)庆大霉素诱导肾小管间质纤维化

模型实验方法

(1)单侧肾静脉结扎法

体重为250~300g的成年SD大鼠,经腹腔注射5%水合氯醛麻醉,麻醉后取仰卧位固定于手术板上。动物腹部手术区常规消毒及去毛,沿腹中线作手术切口,依次切开皮肤和肌肉,游离肾脏和输尿管,用组织钳托起左侧输尿管中段部位,止血钳夹住,在两端用4-0号丝线分两次结扎左侧输尿管近肾盂段,剪断输尿管,然后常规缝合肌肉和皮肤。术后动物常规单笼饲养观察,自由饮水及进食。28d后出现纤维化。

(2)庆大霉素诱导肾小管间质纤维化模型

体重200~260g成年SD大鼠,每天分2次经皮下按400mg/kg体重剂量注射庆大霉素(Gentamicin,  GM),连续2d。镜下病理组织学观察显示,注射GM后第5日时肾皮质内近曲小管上皮细胞发生广泛性坏死,管腔内充满红色颗粒状坏死物,可见蛋白管型,管壁未出现断裂及塌陷现象,PAS染色基底膜保持完整,有少量近曲小管基底膜上开始覆有一层扁平的上皮细胞。

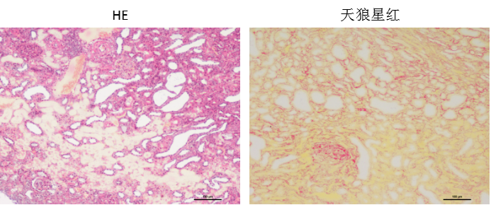
3 病理结果

3.1输尿管结扎肾纤维化

 

HE染色可以看出造模后肾皮质区域大量组织坏死、肾小球硬化、肾小管上皮细胞萎缩,管腔增大;天狼星红染色显示肾小球出现硬化,肾小管间可见呈现红色的胶原纤维沉积。