服务项目
BrdU染色检测
服务概述
用BrdU预处理的细胞中,BrdU可代替胸腺嘧啶核苷插入复制的DNA双链中,而且这种置换可以稳定存在,并带到子代细胞中。细胞经过固定和变性处理后,可用免疫学方法检测DNA中BrdU的含量(如采用鼠抗BrdU单克隆抗体特异识别BrdU,再采用辣根过氧化酶标记的山羊抗鼠IgG二抗标记,最后用比色法或荧光的方法进行定量测定),从而判断细胞的增殖能力。
服务周期:
技术介绍
用BrdU预处理的细胞中,BrdU可代替胸腺嘧啶核苷插入复制的DNA双链中,而且这种置换可以稳定存在,并带到子代细胞中。细胞经过固定和变性处理后,可用免疫学方法检测DNA中BrdU的含量(如采用鼠抗BrdU单克隆抗体特异识别BrdU,再采用辣根过氧化酶标记的山羊抗鼠IgG二抗标记,最后用比色法或荧光的方法进行定量测定),从而判断细胞的增殖能力。

图1. 胸苷及其类似物5'-溴-2'-脱氧尿苷(BrdU)的化学结构。 除了胸苷碳残基5上的甲基(蓝色突出显示)被溴取代(绿色突出显示)(Kolb et al. 1999)以外,两者结构是相同的。
实验步骤
- 1. 细胞以1.5×105 /ml细胞数接种于直径35 mm培养皿中(内放置一盖玻片),培养1 d,用含0.4%FBS培养液同步化3 d,使绝大多数细胞处于G0期。
- 2. 加入BrdU(储液:1.0 mg/ml,终浓度为0.03 μg/ml),37℃,孵育40min。
- 3. 弃培养液,玻片用PBS洗涤3次。
- 4. 甲醇/醋酸固定10 min。
- 5. 经固定的玻片空气干燥,0.3%H2O2-甲醇30 min灭活内源性氧化酶。
- 6. 5%正常兔血清封闭。
- 7.甲酰胺100℃,5 min变性核酸。
- 8.冰浴冷却后PBS洗涤,加1抗即抗小鼠BrdU单抗(工作浓度1:50),阴性对照加PBS或血清。
- 9.按ABC法进行检测,苏木素或伊红衬染,在显微镜下随机计数10个高倍视野中细胞总数及BrdU阳性细胞数,计算标记指数(LI)。
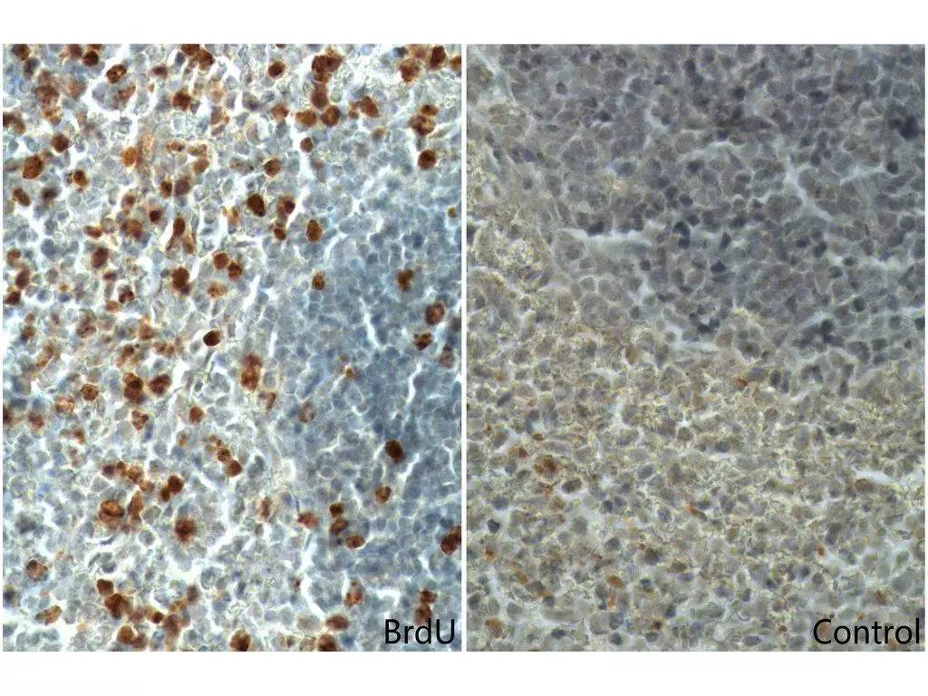
案例:实验结果展示

左边是BrdU处理的脾脏,右边是正常脾脏,显棕色信号的细胞BrdU染色后新生细胞
客户提供
- 1.提供新鲜的肝素或者EDTA抗凝的外周血;
- 2.提供新鲜的培养细胞,提供新鲜组织,需要实验室制备成单细胞悬液。
最终交付
- 完整项目报告
注意事项
- 1.BrdU配制方法:10 mg溶于10 ml双蒸水,4℃下避光保存
- 2.BrdU会肌体造成不可逆损伤,使用时注意安全,避免吸入BrdU粉尘。