服务项目

基因沉默细胞株构建

服务概述

津科生物致力于提供先进和方便的RNAi相关工具,推出一系列用于目标基因沉默的shRNA/miRNA表达载体和抑制shRNA/miRNA的Sponge载体,同时提供RNA干扰慢病毒包装、基因沉默细胞系构建等服务。合生基因具有专业的技术团队和丰富的RNA干扰经验,我们提供包括shRNA/miRNA设计、慢病毒包装、阳性克隆鉴定、单克隆细胞培养、构建基因沉默细胞系在内的一站式解决方案,服务完成后,我们将交付给您指定基因沉默的单克隆细胞株及详细的鉴定报告。

服务周期:

技术介绍

津科生物致力于提供先进和方便的RNAi相关工具,推出一系列用于目标基因沉默的shRNA/miRNA表达载体和抑制shRNA/miRNA的Sponge载体,同时提供RNA干扰慢病毒包装、基因沉默细胞系构建等服务。合生基因具有专业的技术团队和丰富的RNA干扰经验,我们提供包括shRNA/miRNA设计、慢病毒包装、阳性克隆鉴定、单克隆细胞培养、构建基因沉默细胞系在内的一站式解决方案,服务完成后,我们将交付给您指定基因沉默的单克隆细胞株及详细的鉴定报告。

服务流程

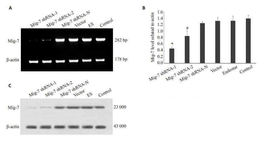
结果展示

客户提供

  1. 如客户不能提供载体的,需提供载体构建所需的相关信息,如载体类型等;
  2. 构建稳定细胞株所需细胞系的选择;
  3. 与构建稳定细胞株相关的其他信息。

交付内容

  1. 本公司构建载体的,提供载体及带有载体的菌液各一份及相关的序列信息;
  2.  构建成功的稳定细胞株,转染后需要检测的,参考相关实验服务;
  3. 构建稳定细胞株实验所需试剂耗材、仪器设备、实验方法各一份;
  4. 其他与构建稳定细胞株相关的信息。